At Suite Dental, we unite mercury-free dentistry and SMART amalgam removal into one safe, modern approach to restorative care. Our dentist provides biocompatible materials, strict safety protocols and a calm, inclusive experience. To speak with our team or schedule a visit with Dr. Roderick Spencer, call us today at 406-602-4100.

Understanding Mercury-Free Dentistry

Mercury-free dentistry focuses on care without mercury-containing materials. Traditional amalgams are durable, yet they include mercury, which has led many patients to request alternatives. Our dentist evaluates your oral health and recommends restorations made with biocompatible options that blend with tooth structure and support long-term function. This approach prioritizes:

  • Reduced exposure to potentially harmful substances for you and our team
  • Restorations that are strong, conservative and natural looking
  • Materials suited to patients with sensitivities or allergies
  • Decisions aligned with whole-body wellness and environmental stewardship

What Is SMART Amalgam Removal?

The International Academy of Oral Medicine and Toxicology (IAOMT) developed the Safe Mercury Amalgam Removal Technique (SMART) to minimize mercury exposure during the removal of dental amalgam fillings. First introduced in 2016 and updated in 2019, SMART offers evidence‑based protocols that prioritize patient safety, practitioner protection, and environmental responsibility. Recognized as the global standard in biological and holistic dentistry, SMART certification reflects a dentist’s commitment to advanced, mercury‑safe practices. Dr. Spencer is proudly listed among IAOMT‑certified practitioners.

What SMART Involves

SMART stands for Safe Mercury Amalgam Removal Technique. It is a step-by-step protocol designed to minimize mercury vapor and particulate during the removal of existing amalgam restorations. Our clinical procedures feature:

  • High-volume suction, tooth isolation and copious water to reduce heat and aerosol
  • Clean-air delivery via nasal mask and room air filtration for added protection
  • Meticulous sectioning of restorations to limit friction and vapor
  • Immediate replacement with biocompatible materials chosen for fit and aesthetics
Smart Amalgam Logo
Smart Amalgam Logo

Your Visit: A Simple Timeline

  • Initial assessment: We review your health history and examine existing restorations to tailor a plan that matches your goals.
  • Protective measures: You receive clean-air support while our team prepares isolation and suction systems.
  • Removal phase: Amalgam is sectioned and lifted with minimal heat and friction to enhance comfort.
  • Restoration phase: Teeth are restored with biocompatible options that support function and appearance.
  • Aftercare: You leave with clear instructions and support for home care and follow-up.
Mercury-Free Dentistry at Suite Dental
Mercury-Free Dentistry at Suite Dental

Why Patients Choose This Approach

Our integrated philosophy delivers health-centered results with a focus on comfort and outcomes you can trust:

  • Minimizes mercury exposure during treatment
  • Supports a healthier office and environmental footprint
  • Enhances peace of mind through transparent, evidence-based protocols
  • Provides attractive, durable and tooth-conserving restorations
  • Respects your preferences with personalized options and multilingual communication when needed

Plan Your Next Steps for Mercury-Free Dental Care

Experience a safer, more holistic path to a confident smile. Schedule a consultation with Dr. Spencer to discuss mercury-free restorations and SMART amalgam removal. Our dentist will help you choose materials and a timeline that fit your needs, then guide you through every step with clarity and care. Contact our office today to get started!

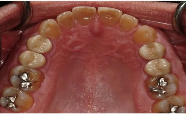
Before
Mercury-Free Dentistry Before and Afters at Suite Dental
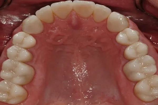
After
Mercury-Free Dentistry Before and Afters at Suite Dental
Before
Mercury-Free Dentistry Before and Afters at Suite Dental
After
Mercury-Free Dentistry Before and Afters at Suite Dental
Before
Mercury-Free Dentistry Before and Afters at Suite Dental
After
Mercury-Free Dentistry Before and Afters at Suite Dental

Frequently Asked Questions About Mercury-Free Dentistry

Is mercury-free dentistry safe for me?

+

You can feel confident knowing that mercury-free dentistry prioritizes your health and wellbeing. By avoiding mercury, you reduce the risk of potential health concerns associated with this material. Our approach in Bozeman and Gallatin Valley, Montana, uses safe and effective alternatives, ensuring your dental care is both healthy and environmentally friendly.

Will my insurance cover mercury-free dentistry?

+

Insurance plans often vary, so it is important to check with your provider about coverage for mercury-free dentistry. Many plans do cover mercury-free options, but it is always a good idea to confirm specific details. Our team can assist you in navigating insurance questions and provide estimates to help you plan.

How can mercury-free dentistry ease my dental anxiety?

+

We understand that visiting the dentist can be stressful. Mercury-free dentistry in Bozeman and Gallatin Valley, Montana, focuses on creating a calm and welcoming environment. Our dentist and team take time to explain each step, ensuring you feel comfortable and informed. By prioritizing your comfort, we aim to ease any anxiety you may have.

Why choose mercury-free dentistry if I have had negative experiences before?

+

If previous dental visits have left you uneasy, mercury-free dentistry offers a fresh start. Our compassionate dentist in Bozeman and Gallatin Valley, Montana, listens to your concerns and tailors care to your needs. By focusing on gentle, mercury-free treatments, we strive to rebuild your trust in dental care.

How long is the recovery time after mercury-free treatments?

+

Recovery times can vary depending on the specific treatment, but mercury-free options generally promote quicker healing. You can often resume normal activities shortly after your appointment. Our dentist will provide personalized aftercare instructions to ensure a smooth recovery, addressing any questions you may have.

What areas do you serve with mercury-free dentistry?

+

Our mercury-free dentistry services are available in Bozeman and Gallatin Valley, Montana. You can receive quality care tailored to your needs in these areas. We are committed to providing convenient access to mercury-free dental options, ensuring you receive the best possible care close to home.

Is SMART amalgam removal painful?

+

You might worry about discomfort during SMART amalgam removal. Rest assured, our dentist in Bozeman and Gallatin Valley, Montana, use gentle techniques to minimize any discomfort. We offer options like numbing gels to help you feel at ease. Your comfort is our priority, so let us know if you have any concerns.

How long does recovery take after SMART amalgam removal?

+

Recovery from SMART amalgam removal is usually quick. You might experience slight sensitivity for a day or two, but this typically subsides rapidly. You can return to your regular activities almost immediately. Our dentist will provide you with tips to ensure a smooth recovery.

Does insurance cover SMART amalgam removal?

+

Insurance coverage for SMART amalgam removal varies. We recommend checking with your provider to understand your benefits. Our team can assist you with any paperwork and provide estimates. We aim to make the process as stress-free as possible, so you can focus on your dental health.

What if I feel anxious about SMART amalgam removal?

+

Feeling anxious about dental visits is common. Our dentist in Bozeman and Gallatin Valley, Montana, prioritize creating a calming environment. We offer techniques like deep breathing and can discuss sedation options if needed. Your comfort and peace of mind are important to us.

How can I trust the process of SMART amalgam removal?

+

Trust is crucial when considering SMART amalgam removal. Our dentist are committed to transparency and will explain each step in simple terms. We encourage you to ask questions and voice any concerns. Building trust with you is key to ensuring a positive experience.

What areas does SMART amalgam removal serve?

+

SMART amalgam removal is available to residents of Bozeman and Gallatin Valley, Montana. We are conveniently located to serve these communities and are dedicated to providing quality dental care. Our team is here to help you achieve a healthier smile with personalized attention and care.